Actualidad

¿Qué es el Síndrome de Turner? Retrato de mujeres afectadas y sus familias


Las 4 asociaciones de afectadas por el síndrome de Turner y sus familias que están en activo en España actualmente: Andalucía, Castilla y León, Cataluña y Madrid, tenemos el gusto de transmitir este breve y certero retrato de las mujeres afectadas. En particular, plasma muy bien los retos a los que nos enfrentamos individualmente y desde el movimiento asociativo.
¿Qué es el Síndrome de Turner? Retrato de mujeres afectadas y sus familias
�Qu� es el S�ndrome de Turner? Retrato de mujeres afectadas y sus familias

¿Qué es el Síndrome de Turner? Retrato de mujeres afectadas y sus familiasY, ¿QUÉ SE YO SOBRE EL SÍNDROME DE TURNER?

 

Es bien sabido que las batallas se ganan luchando con la finalidad del propósito a lograr. Lo que no es conocido es como un pequeño ser tiene como objetivo la supervivencia y lucha y aguanta con toda su energía para salir adelante y poder ver el sol. Así se puede definir a una mujer Turner "pura vida” contra todo pronóstico.

 

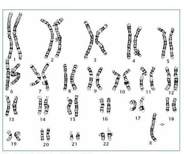
Iniciemos este informativo artículo definiendo lo que es el síndrome de Turner, como un trastorno cromosómico que supone la pérdida total o parcial de un cromosoma X. Todo individuo programado para ser mujer tiene dos cromosomas X en el par cromosómico 23, el sexual de los 23 pares de los cuales dispone el ser humano. Destacar que las posibilidades de viabilidad al nacimiento de una mujer Turner son en torno a 1/2000 frente a la no viabilidad de nacimiento de un 0Y, que debería ser XY programado para ser hombre. No debemos conjeturar nada más que la evidencia, la importancia del cromosoma X para que un ser sea viable.

 

Se presenta con signos de talla corta, disgenesia gonadal con infantilismo sexual junto con otras anomalías de tipo renal, cardiovascular, musculoesquelético, trastornos en el aprendizaje, inmunológicos y sobre las células germinales (infertilidad por la disgenesia gonadal). Este rango de anomalías es variable en cada mujer Turner y su presentación clínica varía con la edad y las anomalías citogenéticas que existan. Según la mayor o menor aparición de signos clínicos, su vida será normal o más compleja pero siempre condicionada a vigilancia médica.

 

Su diagnóstico está basado en las características clínicas y en un cariotipo o estudio cromosómico convencional.

 

Dada la falta de información, así como de financiación pública en el entorno de las enfermedades raras, por afectar de forma minoritaria a la población, los diagnósticos muchas veces son tardíos. Pero gracias al tesón y a la perseverancia de las familias se consiguen los objetivos diagnósticos y de forma consecuente el tratamiento más adecuado. Se induce el desarrollo de los caracteres sexuales secundarios con un tratamiento estrogénico a fin de paliar el fallo gonadal y se administra hormona de crecimiento para el tratamiento de la talla baja. Igualmente, se procede a la terapia médica o quirúrgica necesaria para solucionar el resto de los signos clínicos que pudieran estar presentes. Es fundamental el seguimiento médico de toda mujer Turner según las diferentes edades.

 

Uno de los grandes retos es llenar la falta de conocimiento personal sobre el síndrome, el conseguir protocolos específicos por edad para el seguimiento de las afectadas y el sensibilizar a las administraciones públicas de la importancia de la financiación en la investigación. Pero por fortuna, todos somos iguales pero únicos y estamos navegando en el mismo barco, el cual, siempre debe llegar a puerto y se espera que a buen puerto.

 

Por contradecir a las malas lenguas, es de obligado cumplimiento decir que la naturaleza ha hecho fuertes a las mujeres Turner, que luchan por sus metas y que son iguales que toda mujer aun siendo tan diferentes.

 

Ser una mujer Turner no es una opción es una cuestión de azar, caprichosa como le es propio a la naturaleza de la cual hay que formular la creación de seres excepcionales que rompen las barreras de la genética en su más puro estado.